The Road to Recovery After Meth Addiction
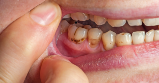
The Road to Recovery After Meth Addiction Recovery from meth addiction is not a straight path. It’s a winding road filled with challenges, growth, setbacks, and breakthroughs. But no matter how rough the journey may feel at times, it is possible. People come back from [...]









